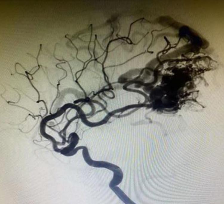
Lava -12 ANEURISMA INTRACRANIAL Sistema de embólil líquido
Cuando lavaTMAneurismas intracraneales El sistema embólico líquido se está contactando con la sangre o cualquier solución acuosa, su superficie se solidificará inmediatamente y formará una película protectora. El DMSO en el agente embólico se diluye y se difunde en la sangre, de modo que el polvo tantalum envuelto por EVOH se precipita y se solidifica desde el exterior hasta el interior. Al mismo tiempo, la lava se difunde a lo lejos de la presión de inyección. Finalmente, forma un cuerpo embólico esponjoso en la posición de embolización.

LavaTMEl sistema de embolización de aneurisma está hecho de material no adhesivo, por lo que es más seguro y no indica el catéter.
Es una fórmula única de baja viscosidad con una gama completa de modelos lava -12, lava -18 y lava -34.
Tiene una mejor dispersión y penetración. y puede penetrar profundamente en la lesión y alcanzar el vaso distal.
El polvo tantalum es más fino, más lento precipitado y más claramente radiografía en comparación con los competidores.

Notas paraAneurismas intracraneales Sistema embólico líquido
● Observe si el agente embólico líquido de lava solidifica, de ser así, debe descongelarse en primer lugar.
● Ponga el agente embólico líquido de lava en el vibrador.
● Ajuste el vibrador al alto nivel.
● No menos de 20 minutos para sacudir
● Hasta que se use.
|
Código de producto |
Viscosidad |
Descripciones |
|
Lava -12 |
12 CST |
Menor viscosidad, más fluido, para microvasos distales; |
|
Lava -18 |
18 CST |
Fórmula estándar, uso general; |
|
Lava -34 |
34 CST |
Mayor viscosidad, para recipientes de alto flujo. |











